Pediatría

9 04, 2026

Síndrome de dificultad respiratoria aguda pediátrico

Por |2026-04-09T08:25:57+02:009 abril, 2026|Pediatría|

El síndrome de dificultad respiratoria aguda pediátrico (SDRAP) es una condición potencialmente mortal caracterizada por la aparición aguda de insuficiencia respiratoria hipóxica con infiltrados bilaterales, en ausencia de causa cardiogénica. Puede progresar de síntomas leves a fallo respiratorio grave en cuestión de horas.

Los criterios diagnósticos clave, según las guías PALICC-2, incluyen:

  • Inicio agudo dentro de la semana posterior a un insulto clínico conocido
  • Infiltrados bilaterales […]
8 04, 2026

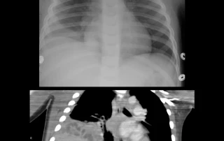
Empiema pleural en pediatría

Por |2026-04-08T08:53:44+02:008 abril, 2026|Pediatría|

El empiema pediátrico representa una de las complicaciones más desafiantes de la neumonía bacteriana en la infancia.

Debemos sospechar esta entidad ante un paciente con neumonía que no presenta mejoría clínica tras 3 a 4 días de tratamiento antibiótico adecuado con amoxicilina, manifestando fiebre alta persistente y dificultad respiratoria progresiva. Al examen físico, la tríada clásica compuesta por matidez pétrea a la percusión, ausencia de ruidos […]

8 04, 2026

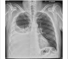
Neumotorax en pediatría

Por |2026-04-08T08:46:21+02:008 abril, 2026|Pediatría|

El neumotórax en pediatría representa un desafío clínico que exige una alta sospecha diagnóstica y una intervención precisa. Esta patología, caracterizada por la acumulación de aire en el espacio pleural que provoca el colapso del parénquima pulmonar, suele presentarse bajo tres escenarios críticos. El neumotórax espontáneo primario (nep) es el más común en adolescentes varones de complexión asténica, frecuentemente debido a la ruptura […]

7 04, 2026

Alergia al polen. Enfoque de la medicina funcional.

Por |2026-04-07T08:00:58+02:007 abril, 2026|Pediatría|

Enfoque de la medicina funcional sobre las alergias al polen

Por lo habitual, culpabilizamos al polen cuando el problema es un sistema inmunológico desequilibrado. Para recuperar la salud, es necesario trabajar sobre el terreno biológico interno. El sistema ha perdido la capacidad de tolerancia y reacciona ante sustancias inofensivas como si fueran invasores. Produce anticuerpos IgE que fuerzan a los mastocitos a liberar histamina, provocando estornudos, […]

6 04, 2026

El síndrome de Wiskott-Aldrich

Por |2026-04-06T15:18:22+02:006 abril, 2026|Pediatría|

El síndrome de Wiskott-Aldrich (SWA) es una inmunodeficiencia primaria combinada de herencia recesiva ligada al cromosoma X, causada por mutaciones en el gen WAS. Este gen codifica la proteína WASP, que se expresa exclusivamente en células hematopoyéticas y actúa como regulador esencial del citoesqueleto de actina, la migración celular y la sinapsis inmunológica. Su ausencia compromete la inmunidad celular, la humoral y la hemostasia, presentando […]

2 04, 2026

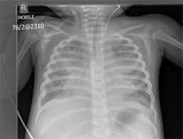
Derrame pleural en pediatría

Por |2026-04-02T08:22:57+02:002 abril, 2026|Pediatría|

El derrame pleural no es una enfermedad sino una complicación de diversas patologías subyacentes. Reconocerlo precozmente, clasificarlo correctamente y tratarlo de forma escalonada son los pilares del manejo pediátrico.

En pediatría, la causa más frecuente es el derrame paraneumónico (asociado a neumonía bacteriana). El mecanismo es el aumento de permeabilidad capilar pleural mediado por interleucinas (IL-1, IL-6, TNF-α), produciendo un exudado. Las demás causas varían en […]

1 04, 2026

Vértigo paroxístico benigno

Por |2026-04-01T08:52:45+02:001 abril, 2026|Pediatría|

El VPPB es la causa más frecuente de vértigo periférico. Se caracteriza por episodios breves de vértigo rotatorio (habitualmente entre 10 segundos y un minuto) desencadenados por cambios en la posición cefálica.

Su sustrato patológico es la presencia de otolitos desprendidos —cupulolitiasis o canalolitiasis— en uno de los canales semicirculares, que alteran el flujo endolinfático y generan señales aferentes erróneas al sistema nervioso central. El signo […]

1 04, 2026

Cómo retirar los antidepresivos

Por |2026-04-01T08:38:49+02:001 abril, 2026|Pediatría|

Muchos pacientes se encuentran atrapados tomando antidepresivos, no porque sigan necesitándolos, sino porque cada vez que intentan dejarlos son golpeados por síntomas como mareos, náuseas o las temidas “corrientes eléctricas” en el cerebro.

A menudo, esto se confunde erróneamente con una recaída de la enfermedad original, cuando en realidad se trata del síndrome de abstinencia.

El fracaso al intentar dejar los antidepresivos radica en tres motivos fundamentales. En primer lugar, […]

1 04, 2026

Meditación y neuroplasticidad

Por |2026-04-01T07:47:40+02:001 abril, 2026|Pediatría|

La meditación sostenida produce cambios objetivables y replicables en la estructura y el funcionamiento del cerebro. Técnicas de imagen cerebral —resonancia magnética estructural, resonancia magnética funcional, tractografía de la sustancia blanca y electroencefalografía de alta densidad— han permitido medir estos cambios con precisión, transformando la percepción científica de la práctica meditativa.

El estudio pionero de Lazar et al. (2005) fue el primero en demostrar que la […]

31 03, 2026

TDAH en el adulto: cuando el diagnóstico llega tarde

Por |2026-03-31T13:41:59+02:0031 marzo, 2026|Pediatría|

El TDAH en el adulto constituye uno de los diagnósticos más sistemáticamente diferidos en la práctica clínica. A diferencia de la presentación infantil —caracterizada por hiperactividad conductual evidente—, el fenotipo adulto cursa con mayor sutileza: desregulación ejecutiva, dificultad en el mantenimiento de la atención sostenida y un patrón crónico de disfunción adaptativa que el paciente ha normalizado a lo largo de los años.

La prevalencia estimada […]

Ir a Arriba