Pediatría

21 03, 2026

Anillos vasculares

Por |2026-03-21T07:18:29+01:0021 marzo, 2026|Pediatría|

Los anillos vasculares son anomalías congénitas de los vasos sanguíneos que rodean y comprimen la tráquea y/o el esófago.

Su clasificación principal abarca distintos tipos fundamentales.

El doble arco aórtico es el tipo más sintomático, ya que forma un anillo completo alrededor de ambas estructuras, causando una compresión severa; si se diagnostica antes de nacer, se recomienda cirugía electiva entre los 6 y 9 meses.

Por otro lado, […]

20 03, 2026

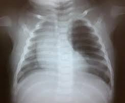
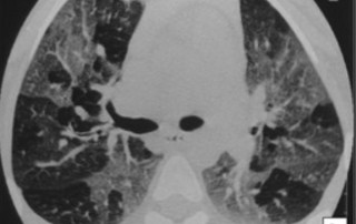
Secuestro pulmonar

Por |2026-03-20T15:52:40+01:0020 marzo, 2026|Pediatría|

El secuestro pulmonar (SP) es una de las malformaciones congénitas más relevantes del desarrollo broncopulmonar, representando entre el 0,15% y el 6,4% de todas las anomalías pulmonares congénitas. Su importancia clínica reside en la tríada fisiopatológica que lo define: la presencia de una masa de tejido pulmonar displásico y no funcional, la ausencia de comunicación con el árbol traqueobronquial normal y, de manera patognomónica, una […]

19 03, 2026

Malformaciones congénitas del árbol bronquial

Por |2026-03-19T08:58:17+01:0019 marzo, 2026|Pediatría|

El desarrollo del sistema respiratorio comienza alrededor de la cuarta semana de gestación a partir del intestino anterior, mediante una compleja interacción entre el endodermo y el mesodermo. Cuando este proceso de ramificación sufre una detención focal durante la etapa pseudoglandular, se originan las malformaciones congénitas del árbol bronquial. Estas patologías tienen una incidencia estimada de 1 entre cada 2,000 a 4,000 nacidos vivos y, […]

18 03, 2026

Enfisema Lobar Congénito

Por |2026-03-18T15:57:28+01:0018 marzo, 2026|Pediatría|

El Enfisema Lobar Congénito es una malformación pulmonar congénita poco frecuente. Su incidencia afecta aproximadamente de 1 en 20.000 a 1 en 30.000 nacidos vivos.

Esta condición presenta una fuerte predominancia masculina, con una proporción hombre-mujer de 3:1. Aunque un 33% de los casos cursa con síntomas nada más nacer, un aplastante 95% desarrolla los síntomas antes de llegar a los 6 meses de edad, lo […]

17 03, 2026

Laringomalacia

Por |2026-03-18T16:10:41+01:0017 marzo, 2026|Pediatría|

La laringomalacia se consolida como la anomalía laríngea congénita más prevalente en la práctica pediátrica, siendo responsable de entre el 60% y el 75% de todos los casos de estridor en lactantes.

Esta condición se caracteriza por una madurez insuficiente de los cartílagos laríngeos, lo que deriva en un colapso dinámico de las estructuras supraglóticas durante la inspiración. El proceso fisiopatológico implica que, ante la presión […]

16 03, 2026

Traqueomalacia

Por |2026-03-16T06:35:19+01:0016 marzo, 2026|Pediatría|

La traqueomalacia se define esencialmente como una debilidad estructural del cartílago traqueal que provoca un colapso dinámico excesivo durante la espiración.

En condiciones normales, el cartílago en forma de U mantiene la vía abierta, pero en esta patología el tejido es anormalmente blando, lo que reduce el diámetro traqueal en más de un 50% al exhalar. Esto genera una obstrucción significativa al flujo de aire.

Esta condición […]

16 03, 2026

Candidiasis crónica

Por |2026-03-16T06:21:32+01:0016 marzo, 2026|Pediatría|

Muchos pacientes luchan contra infecciones recurrentes por hongos sin entender por qué los tratamientos convencionales fallan una y otra vez. La clave no está solo en matar al hongo, sino en comprender su sofisticada biología y cómo cambia el entorno de nuestro cuerpo para sobrevivir.

La Candida albicans no es un simple hongo unicelular; su peligrosidad reside en su polimorfismo, es decir, su capacidad de cambiar […]

14 03, 2026

Bronquiolitis obliterante postinfecciosa en pediatría

Por |2026-03-14T07:55:42+01:0014 marzo, 2026|Pediatría|

No todo lo que silba es asma. Esta frase cobra un sentido crítico cuando nos enfrentamos a la Bronquiolitis Obliterante Postinfecciosa (BOP), una enfermedad crónica poco frecuente pero de gran impacto, que surge cuando una infección respiratoria común desencadena una cicatrización irreversible de las vías aéreas más pequeñas.

La historia de esta patología cambió radicalmente en los años 80, cuando médicos en Argentina y Chile, comenzaron […]

13 03, 2026

Déficit de atención en la adolescencia

Por |2026-03-13T08:10:17+01:0013 marzo, 2026|Pediatría|

La transición a la adolescencia representa un desafío mayúsculo para cualquier joven, pero para aquellos diagnosticados con Trastorno por Déficit de Atención e Hiperactividad (TDAH), esta etapa se convierte en una tormenta perfecta.

Se estima que el TDAH afecta a entre un 5% y un 7% de la población adolescente a nivel mundial, y lejos de desaparecer con la edad, los síntomas suelen transformarse y, en […]

13 03, 2026

Hiperreactividad bronquial o asma, ¿es lo mismo?

Por |2026-03-13T08:11:05+01:0013 marzo, 2026|Pediatría|

Es muy común que en las consultas de pediatría los términos enfermedad reactiva de las vías respiratorias (RAD) y asma se utilicen casi como sinónimos, ya que ambos comparten síntomas idénticos como la tos, las sibilancias espiratorias y la dificultad para respirar. Sin embargo, es fundamental entender que existen distinciones críticas relacionadas con la permanencia del diagnóstico, la edad del paciente y los métodos utilizados […]

Ir a Arriba