
La Enfermedad de Legg-Calvé-Perthes constituye una de las entidades más críticas en la ortopedia pediátrica y se define como una osteonecrosis avascular idiopática de la epífisis femoral proximal.
Su origen radica en una interrupción del flujo sanguíneo que provoca un infarto del hueso cortical subcondral, desencadenando un proceso de debilitamiento mecánico que puede derivar en la deformidad permanente de la cadera.
Esta patología afecta predominantemente a varones entre los 4 y 8 años con una proporción de cinco a uno respecto a las niñas y se asocia estrechamente a factores como la trombofilia y la exposición ambiental al humo del tabaco.
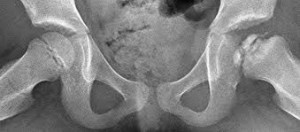
Para comprender su evolución es fundamental analizar las Fases de Waldenström, que describen la historia natural del proceso. La primera es la fase inicial o de necrosis, caracterizada por la isquemia, el cese del crecimiento del núcleo de osificación y una sinovitis que puede durar hasta seis meses. Le sigue la fase de fragmentación, que representa el periodo de mayor riesgo clínico y radiológico; en esta etapa el hueso necrótico es reabsorbido y aparece el signo del creciente, una línea radiolúcida subcondral que indica una fractura inminente y el posible colapso de la cabeza femoral. Posteriormente ocurre la fase de reosificación, donde el tejido óseo nuevo comienza a sustituir al necrótico y finalmente la fase de remodelación, donde la cabeza del fémur adquiere su forma definitiva, la cual dependerá enteramente de la carga mecánica recibida y de la contención articular lograda durante el proceso.
El diagnóstico temprano se enfrenta a menudo a la trampa clínica del dolor referido, ya que el síntoma inicial suele ser una cojera intermitente de inicio insidioso con dolor localizado erróneamente por el paciente en la rodilla o la cara medial del muslo.
En la exploración física los hallazgos patognomónicos son la limitación de la rotación interna y la abducción, acompañados en casos crónicos por una marcha de Trendelenburg y una atrofia muscular visible en el muslo y la nalga por desuso. Dado que las radiografías iniciales pueden ser equívocas la Resonancia Magnética se posiciona como el estándar de oro para detectar cambios en la médula ósea meses antes de que sean evidentes en placas simples.
La determinación del pronóstico se basa en tres pilares fundamentales que el clínico debe dominar. El primero y más determinante es la edad al momento del diagnóstico, donde los niños menores de seis años tienen un potencial de remodelación ósea excepcional. El segundo es la Clasificación de Herring o del pilar lateral, que evalúa la integridad de la porción externa de la cabeza femoral durante la fragmentación siendo un pilar mantenido en más del cincuenta por ciento un signo de buen pronóstico. El tercero es la Clasificación de Catterall, que cuantifica la extensión del daño cefálico dividiéndolo en cuatro grados según la cantidad de epífisis afectada.
Al decidir la estrategia terapéutica se debe contrastar el tratamiento conservador frente al quirúrgico. El manejo no operativo es la base para pacientes jóvenes con factores favorables y se centra en la descarga de peso protegida, la modificación de actividades y ejercicios de rango de movimiento para permitir una revascularización biológica natural sin intervenciones agresivas. Por el contrario la opción quirúrgica mediante la osteotomía femoral varizante o la osteotomía pélvica busca activamente la contención de la cabeza del fémur profundamente dentro del acetábulo. Mientras que el tratamiento conservador minimiza los riesgos inmediatos de la cirugía el enfoque quirúrgico ofrece una mayor seguridad para mantener la esfericidad de la cabeza femoral en casos severos reduciendo significativamente la posibilidad de deformidades residuales.
Los criterios de indicación quirúrgica están claramente definidos para pacientes mayores de ocho años o aquellos que presentan una clasificación de Herring grupo B o C con signos de pérdida de contención articular. La intervención es vital durante la fase de fragmentación para garantizar que la cabeza femoral se remodele de forma congruente con el acetábulo. Ignorar estos tiempos de intervención puede conducir a secuelas permanentes como el choque femoroacetabular y una osteoartritis temprana que puede manifestarse incluso antes de la tercera década de vida del paciente. La vigilancia estricta y el conocimiento profundo de estas fases y escalas permiten transformar radicalmente el futuro funcional de la cadera pediátrica.